HD & ED

Hobbyzucht von Langstockhaar Schäferhunde

besucherzähler kostenlos  
Neue Rubrik "Deckrüden"angelegt  
Counter-Box.de  

neuer Counter seit 19.01.2019

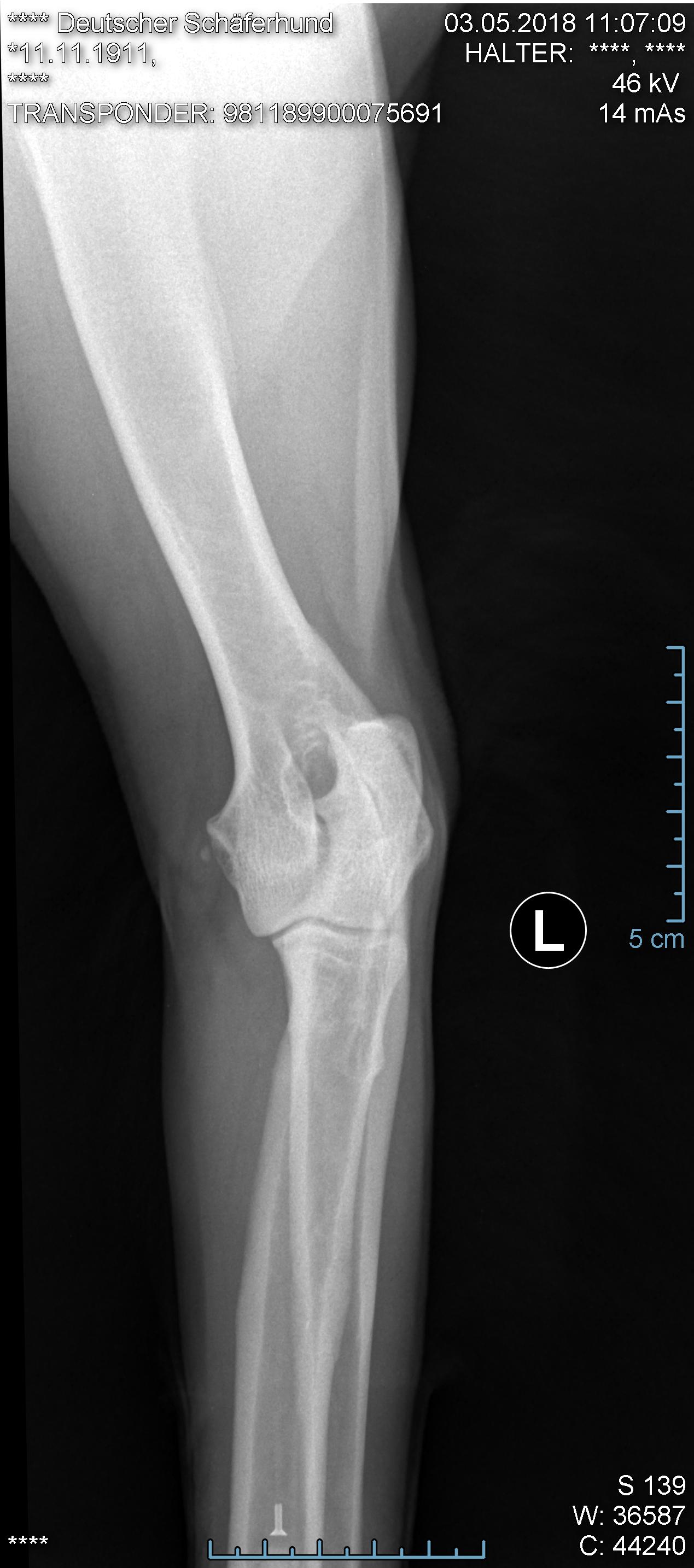
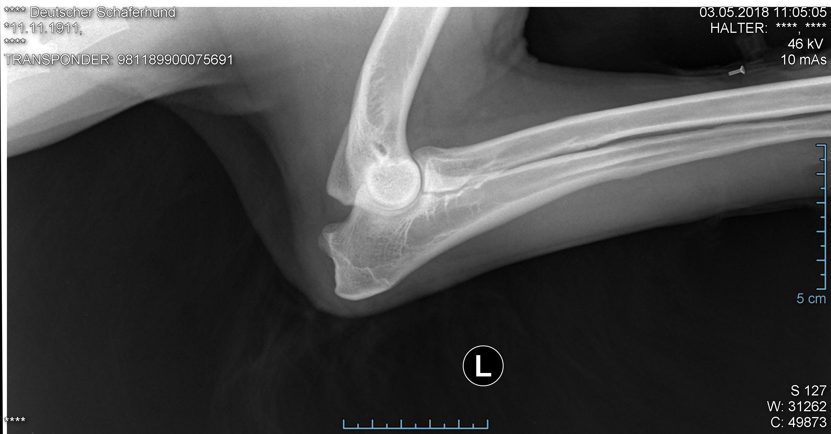
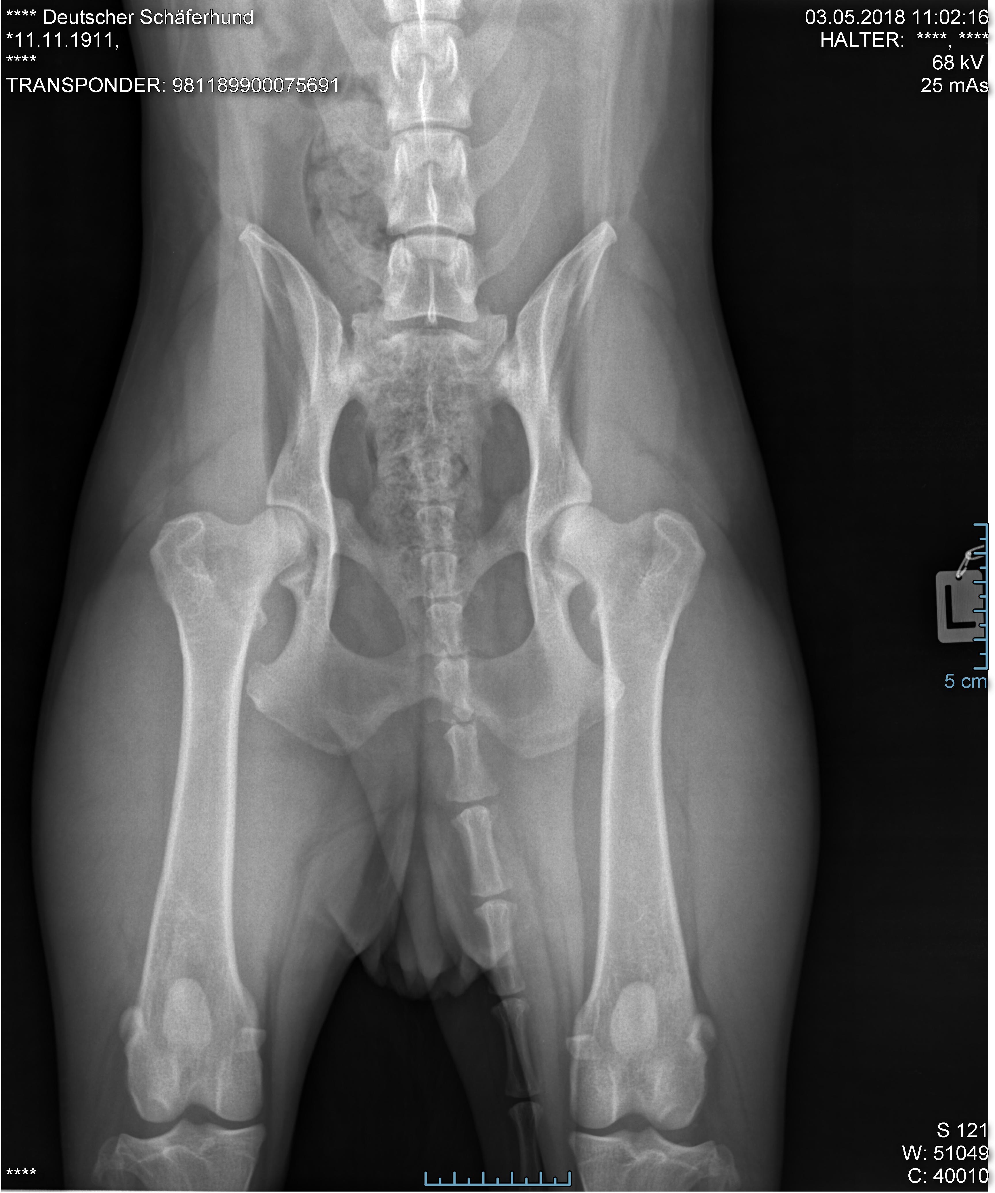
Hier ist eine HD-ED Aufnahme von unserer Isis von KaTum,  alles Top

Vom Haus Hektor
Unsere Hunde
Galerie
Austellungen
Krankheiten
Erinnerung
Impressum
EU-Datenschutz
Link`s
Würfe
Wurfplanung
Zuchtverein
Deckrüden

Email senden

Keine HD  und  kein ED

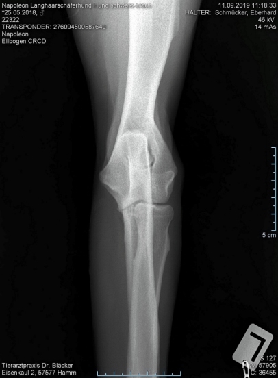
Röntgentermin am 11.09.2019

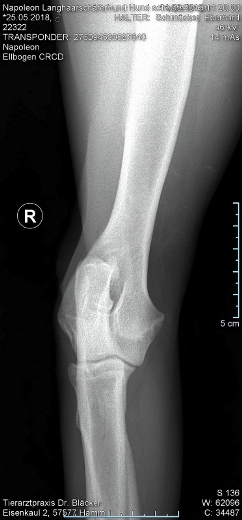
Hier sind  HD-ED Aufnahmen von unseren “Napoleon von KaTum”   alles Top

Keine HD und kein ED,LÜW ist alles gut

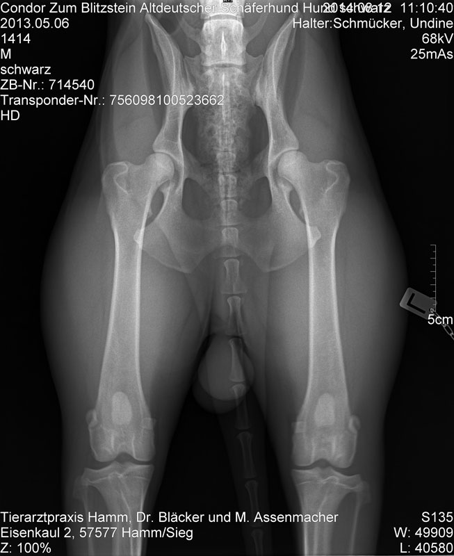
 HD-ED Aufnahme  von Condor`s Hüfte vom 12.08.2014

 HD normal, kein ED

Hüfte

Ellbogen

Foto von Diego`s Hüfte

[Vom Haus Hektor] [Unsere Hunde] [Galerie] [Austellungen] [Krankheiten] [Erinnerung] [Impressum] [EU-Datenschutz ] [Link`s] [Würfe] [Wurfplanung] [Zuchtverein] [Deckrüden]