Bayou vom Haus Hektor

Hobbyzucht von Langstockhaar Schäferhunde

besucherzähler kostenlos  
Neue Rubrik "Deckrüden"angelegt  
Counter-Box.de  

neuer Counter seit 19.01.2019

Vom Haus Hektor
Unsere Hunde
Galerie
Austellungen
Krankheiten
Erinnerung
Impressum
EU-Datenschutz
Link`s
Würfe
Wurfplanung
Zuchtverein
Deckrüden

Email senden

Bayou 11.Woche

1.Auftritt beim Fotograph erfolgreich bestanden

Bayou 14. Woche

 5-Monate alt

08.11.2020

15.Woche, ganz toll

 6-Monate alt 5.12.2020

Januar

 2021

  9.Monat

März 2021

19 Monate Dezember 2021

 

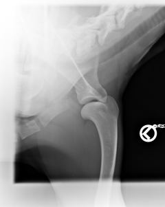
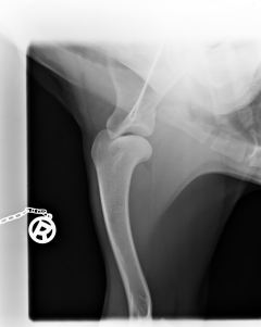
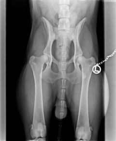
 Bayou ist HD frei, ED frei und OCD frei.Beste Vorraussetzung für ein Deckrüde.

HD                                                           ED-Rechts                                         ED-Links                                                 OCD-rechts                                            OCD-links

[Vom Haus Hektor] [Unsere Hunde] [Galerie] [Austellungen] [Krankheiten] [Erinnerung] [Impressum] [EU-Datenschutz ] [Link`s] [Würfe] [Wurfplanung] [Zuchtverein] [Deckrüden]